医院动态
老人郊游摔倒致骨折不知所措,恰逢好心司机曾是重庆长城骨科医院病友
摔倒,在年轻人看来可能只是“站起来拍拍尘土”的事,但对于老年人来说,它的危险性不亚于其他重大意外。据中国疾病监测系统数据显示,在我国,摔倒已成为65岁以上老人伤害死亡的头号原因。
重庆的艾先生近日就遭遇了“摔跤”这一“健康杀手”。2023年12月28日下午,古稀之年的艾先生和数位友人一同在江边郊游观景,忽然被乱石绊住,摔倒在满地鹅卵石上。不幸中的大幸,这一跤并未让他感觉身体其他地方受伤,只觉得左前臂肿胀,手指不能活动,便判断自己可能手腕已骨折。但艾先生对前往哪家医院医治骨折毫无头绪,恰逢一名路过的好心货车司机决定送他返程,巧合的是这名司机曾是重庆长城骨科医院的病友,见过不少骨折患者,便建议其前往该院寻求救治。“司机师傅说他一年前左小腿完全离断,但是被这家医院接好了,现在完全不影响活动,称赞医院设备好、医术好、服务好。我看了他腿上愈合的伤口,就相信了他。”
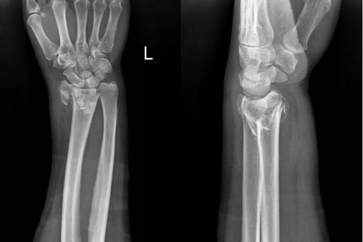
艾先生被送至重庆长城骨科医院急诊科后,医护人员立马着手查体、拍片,最终诊断其为桡骨远端骨折。

(▲X光片清晰可见艾先生左桡骨远端粉碎性骨折。)
该院手显微外科中心急诊组组长任俊成医生介绍道:“人在跌倒时常习惯性地用手掌或手背撑地,该部位为松质骨和皮质骨的交界处,较为薄弱,因而桡骨远端骨折在临床发生率较高,且多发生于骨质疏松的老年人。”
刻不容缓,医院当天傍晚就为艾先生安排了手术。因其伤势,医生团队决定行左尺桡骨骨折复位内固定术和石膏外固定术。术中,医生首先行牵引,将桡骨骨折端用手法复位后,在C臂机透视下见桡骨骨折断端对位对线良好,便从远端桡侧至近端尺侧,用电钻分别钻入一枚直径2.0mm的金属骨针固定,再经C臂机透视下确认桡骨骨折断端对位对线良好,内固定在位。手术顺利,整个过程仅持续一小时。
“一般治疗桡骨远端骨折是通过切开皮肤复位上钢板,而我院是采取闭合复位打克氏针固定,即不用切开皮肤,属于微创手术,让患者的治疗感受更好,恢复更快,同时对复位技术要求难度也大大增加。”任俊成医生说道。

(▲C臂机透视下经皮置入克氏针固定骨折端。)

(▲术前术后对比图。)

(▲任俊成医生日常指导艾先生进行手部功能锻炼。)
术后两天,艾先生左臂肿胀消退后,手指逐渐活动自如,一周左右便能出院。经后续康复锻炼和取出克氏针后,3个月左右艾先生就能完全康复。
“伤筋动骨一百天,我的手指能这么快活动已经觉得很好了,感谢医生。我对治疗过程很满意,住院期间最大的感受就是医生医术很好,护士服务很周到,时刻都来过问我们这些患者的情况,并及时采取相应措施。我现在深刻理解了那位送我来医院的货车司机对长城医院的信任,从踏进医院的那一刻起,我就感受到了暖心而可靠的医疗服务。”艾先生感慨道。

(▲艾先生用活动自如的左手给重庆长城骨科医院点赞。)
医院的口碑正是通过患者口口相传而沉淀积累。重庆长城骨科医院作为国家三级专科医院,秉持精益求精的原则提升专业水准,用“以人为本”的态度高度注重广大患者的安全、疗效和感受。
 
								 
										 
										 
								 
										












 
												 
												 
												 
															 
															 
															 
															 
															 
															 
															 
															 
															 渝公网安备 34100202000128号
渝公网安备 34100202000128号